Focus Gesundheit 2026 Stern Top100 Kliniken 2025

Chronische Gelenkschmerzen – Transarterielle Periartikuläre Embolisation (TAPE)

Eine anhaltende Fehlbelastung oder Überlastung von Gelenken kann zu schmerzhaften entzündlichen Veränderungen oder vorzeitigem Verschleiß (Arthrose) der Gelenkstrukturen führen. Vielfach sprechen die hierdurch verursachten Beschwerden nur unzureichend auf Schonung, Schmerztherapie oder Physiotherapie an und bestehen über einen langen Zeitraum. Man spricht dann von chronischen Schmerzen.

Neue Erkenntnisse weisen darauf hin, dass in vielen Fällen eine krankhaft vermehrte Durchblutung auf der Ebene kleinster Gefäße den Einstrom von Entzündungsfaktoren begünstigt und zur Überstimulation von Nervenenden beiträgt.
So wird der Schmerzreiz langfristig aufrechterhalten und mitunter weiter verstärkt.

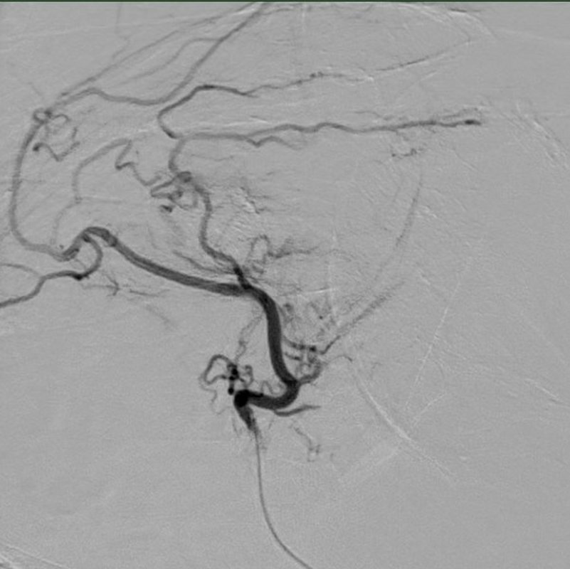
Gelenkembolisation

Die Gelenkembolisation (auch: transarterielle periartikuläre Embolisation, TAPE) setzt hier an.

Nach sorgfältiger lokaler Betäubung wird minimalinvasiv über ein Gefäß in der Leiste ein weniger als zwei Millimeter dünner Katheter bis in die winzigen Seitenäste der Gelenkarterien vorgeschoben. Mittels Einschwemmung kleiner Kügelchen („Mikrosphären“) können diese Seitenäste anschließend teilweise verschlossen („embolisiert“) werden. Die Blutversorgung des Gelenkes insgesamt wird hiervon nicht beeinflusst. Lediglich die überschießende Durchblutung wird ganz lokal reduziert.

Als neues Behandlungsverfahren kann die Embolisation zum Einsatz kommen, wenn konservative Behandlungsversuche wie Schonung, Physiotherapie und Schmerzmedikation auch über einen längeren Zeitraum hinweg nicht zu einer Linderung der Symptomatik führen. 

Wichtig sind in jedem Fall eine sorgfältige radiologische Diagnostik und Beurteilung sowie eine erfolgte orthopädische Abklärung und Einschätzung der Beschwerden im Vorfeld der Behandlungsentscheidung. Dann kann die Gelenkembolisation eine wertvolle Behandlungsalternative sein.

hier Termin vereinbaren

Qualitätsanspruch

Als Interventionelle Radiologie am größten Klinikum der Maximalversorgung in Baden-Württemberg verpflichten wir uns zu hohen Qualitätsstandards:

  • Zertifizierung der verantwortlichen Oberärzte auf nationaler (DEGIR) und europäischer Ebene (EBIR, CIRSE) für interventionelle und minimalinvasive Therapieverfahren
  • Kontinuierliche Fortbildung speziell auf dem Feld der Gelenkembolisationen, zuletzt GEST MSK 2024 & 2026 (Paris) sowie ET 2023 (Valencia)
  • Wissenschaftliche Begleitung zur systematischen Erfolgskontrolle und weiteren Verbesserung der Therapieverfahren

Anwendungsgebiete

Arthrose des Kniegelenks – Gonarthrose

Am besten durch zahlreiche Studien belegt, ist die Wirksamkeit der Embolisation bei der Behandlung der Kniegelenkarthrose (Genikulararterienembolisation). Die Erfolgsrate liegt hier bei circa 70% bei gleichzeitigem Ausbleiben schwerer oder bleibender Nebenwirkungen. Die Möglichkeit einer späteren operativen Versorgung (Prothese) bleibt erhalten und wird durch die Embolisation nicht beeinträchtigt.

Zunehmend kommt die Genikulararterienembolisation auch zum Einsatz, wenn nach der Versorgung des Kniegelenks mit einer Prothese erneut Schmerzen auftreten, sofern Ursachen wie eine Prothesenlockerung oder Infektion ausgeschlossen wurden und konservative Therapieversuche keine Besserung bewirken. Sehr selten kann es nach einer Operation am Kniegelenk zu immer wieder auftretenden, schmerzhaften Einblutungen in das Gelenk kommen. Dies wird auch als Hämarthros bezeichnet. Auch hier ist die Embolisation eine erfolgsversprechende Behandlungsmöglichkeit.

Weitere Gelenke, bei denen die Embolisationsbehandlung durchgeführt wird und erfolgversprechend ist:

Arthrose des Daumengelenks – Rhizarthrose
Arthrose der Fingergelenke - Heberden-/Bouchard-Arthrose
Arthrose des Sprunggelenks
Arthrose des Schultergelenks – Omarthrose

Schmerzhafte Schultersteife – Frozen Shoulder – adhäsive Capsulitis

Das Beschwerdebild der Frozen Shoulder beschreibt die zunehmende schmerzhafte Bewegungseinschränkung des Schultergelenks. Sie bleibt meist über Monate bestehen und sorgt so für hohen Leidensdruck bei Patientinnen und Patienten. Ein klarer Auslöser kann oft nicht identifiziert werden. Ursache der Beschwerden sind am ehesten entzündliche Veränderungen der Gelenkkapsel die zur Versteifung des Gewebes beitragen. Neben einer konsequenten physiotherapeutischen Behandlung mitunter unterstützt durch Gelenkinjektionen kann die Gelenkembolisation sowohl zu einer Verbesserung der Beweglichkeit als auch zu einer deutlichen Schmerzlinderung beitragen. 

Reizungen des Sehnenapparates („Tendinopathien“)

Anhaltende Über- oder Fehlbelastungen können neben der Reizung des Gelenkes selbst auch die am Bewegungsablauf beteiligten Sehnen und Bänder strapazieren

(engl: Overuse injuries – etwa: Überbeanspruchungsverletzungen). Betroffen sind unterschiedlichste Körperregionen insbesondere auch bei sportlich aktiven Patientinnen und Patienten. Auch für diese Beschwerden gilt: Eine konsequente physiotherapeutische und ggf. medikamentöse Behandlung sollte bereits erfolgt sein. Bei anhaltenden, chronischen Beschwerden kann die Embolisation als Schmerztherapie gute Erfolge erzielen.

Zu den Beschwerdebildern zählen:

Tennisarm (Epicondylitis humeri radialis, Tennisellenbogen)
Patellaspitzensyndrom (Jumpers Knee)
Chronische Tendinopathie der Achillessehne
Plantarfasziitis der Fußsohle
trochantäres Schmerzsyndrom der Hüfte (greater trochanteric pain syndrome, GTPS)

FAQ - Ihre Fragen - Unsere Antworten

Alle genannten Begriffe sind Umschreibungen derselben Therapie; der zeitweisen Embolisation (des Verschlusses) kleinster Seitenäste von Gelenkarterien zur Schmerzbehandlung.

Wir nutzen ausschließlich resorbierbare Embolisate, die sich also von selbst wieder auflösen. Der Therapieeffekt auf Ebene winziger Gefäßverästelungen bleibt trotzdem vollständig bestehen, die Durchblutung des Gelenks insgesamt wird nicht beeinträchtigt.

Auch nach einer Gelenkembolisation bleiben alle anderen Behandlungsoptionen wie eine Operation erhalten. Deren Durchführbarkeit, Erfolgsaussichten und Risikoprofil werden durch eine vorhergehende Embolisation nicht negativ beeinflusst.

Die Embolisationstherapie (TAPE) dauert in der Regel etwa 60–90 Minuten bei der Behandlung von Schulter oder Kniegelenk. Die Behandlung der Beschwerden von Sehen und Bändern ist meist weniger zeitaufwändig.

 

 

Nein, die Gelenkembolisation (TAPE) ist in der Regel schmerzarm. Sie wird unter örtlicher Betäubung durchgeführt. Die meisten Patientinnen und Patienten spüren währenddessen kaum etwas.

Wie bei jedem medizinischen Eingriff kann es vereinzelt zu Nebenwirkungen kommen, etwa:

  • Leichte Schmerzen oder Schwellungen im Bereich der Einstichstelle
  • Vorübergehende Erwärmung oder Rötung des behandelten Gelenks
  • In sehr seltenen Fällen: allergische Reaktionen oder Gefäßverletzungen

Ihr behandelndes Ärzteteam wird Sie vor dem Eingriff umfassend aufklären.

Viele Patientinnen und Patienten berichten über eine deutliche Schmerzreduktion bereits innerhalb der ersten Woche nach Embolisation. Die Wirkung kann sich über mehrere Wochen weiter verstärken.

Alle Patientinnen und Patienten werden nach der TAPE-Behandlung am nächsten Morgen entlassen. Es bestehen keine Einschränkungen hinsichtlich körperlicher Aktivität. Eine langsame Steigerung der Belastung des behandelten Gelenks ist selbstverständlich sinnvoll.