Focus Gesundheit 2025 Stern Top100 Kliniken 2025

Schulter- und Oberarmbrüche

Das Schulterhauptgelenk (Glenohumeralgelenk) besteht aus zwei Gelenkpartnern, dem Oberarmkopfknochen (Humerus) und der Gelenkpfanne (Glenoid) des Schulterblatts (Scapula). Ihre jeweiligen korrespondierenden Anteile sind überknorpelt. Der Oberarmkopfbruch stellt nach den Radius- und Schenkelhalsfrakturen den dritthäufigsten Bruch im höheren Lebensalter dar.

Der Oberarmknochen (Humerus)

Typische Symptome eines Knochenbruchs sind sofortige starke Schmerzen und Bewegungseinschränkungen. Weiterhin kommt es zu Schwellungen und einem ausgedehnten Bluterguss im Bereich des Bruchs.

Die Verdachtsdiagnose kann bereits klinisch durch eine gründliche Anamnese und eine zielgerichtete körperliche Untersuchung gestellt werden. Die Sicherung der Diagnose erfolgt abschließend durch verschiedene bildgebende Verfahren.

Dislozierte oder offene Brüche sowie begleitende Gefäß- oder Nervenverletzungen bedürfen einer zügigen operativen Versorgung. Dabei stehen dem Schulterspezialisten verschiedene Hilfsmittel, wie Platten, Schrauben oder Nägel, aber auch künstliche Gelenke zur Verfügung. Je nach Verletzung werden die für Sie benötigten speziellen Instrumente eingesetzt.

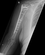
Humeruskopffraktur

Ein Bruch des Oberarmkopfes entsteht bei jüngeren Patienten meist durch einen direkten Anprall auf die Schulter beim Sport, oder bei Verkehrsunfällen. Bei älteren Patienten stehen die Brüche des Oberarmkopfes meist im Zusammenhang mit einer schlechteren Knochensubstanz, wie. z.B. bei einer Osteoporose und können auch schon bei kleineren Traumata entstehen.

Im Beispiel sehen sie einen 4 Teile Bruch, mit Fraktur des großen und kleinen Rollhügels sowie einem Bruch durch den chirurgischen Hals des Knochens (subcapitaler Bruch).

Beispielerkrankung 2

Jede Verletzung wird individuell betrachtet. Durch die große Expertise sind wir in der Lage auf alle Komplikationen und Eventualitäten in einer Operation zu reagieren. Uns stehen sämtliche Möglichkeiten der Osteosynthesen- und Prothesenversorgung, wie Platten, Schrauben und Nägel sowie künstliche Gelenke zu Verfügung.