Sportklinik, Unfallchirurgie und Orthopädie
Focus Gesundheit 2026 Stern Top100 Kliniken 2025

Knie

Alle Verfahren der modernen Kniegelenkschirurgie werden in der Sportklinik, Unfallchirurgie und Orthopädie regelmäßig durchgeführt. Dank der umfassenden Erfahrungen des Ärzteteams können die Patienten differenziert über die optimale Therapie beraten und behandelt werden. Insbesondere auch bei komplizierten Fällen, in denen revisionschirurgische Operationen erforderlich sind, besteht umfangreiche klinische Erfahrung, um ein optimales Ergebnis für jeden einzelnen Patienten zu erreichen.

Eine besondere Spezialisierung besteht in der Behandlung von Sportverletzungen des Knies. In der Sportklinik am Standort Bad Cannstatt werden alle sporttraumatologischen, sportorthopädischen und unfallchirurgischen Verletzungen des Knies behandelt. Ein besonderer Schwerpunkt liegt auf Frakturen sowie Band-, Meniskus-, Knochen-, Muskel- und Knorpelverletzungen. Zudem stellen die rekonstruktiven, gelenkerhaltenden Eingriffe des Kniegelenkes bis hin zu komplexen Ersatzverfahren des Knorpels, aufwendiger Achskorrekturen oder der Versorgung komplexer akuter oder chronischer Bandverletzungen einen Hauptbestandteil dar.

Alle konservativen und operativen Behandlungsverfahren haben dabei einen best- und längstmöglichen Gelenkerhalt zum Ziel. Sollte dies nicht mehr möglich sein, können wir Ihnen gemeinsam mit dem Endoprothetikzentrum des Klinikums Stuttgart am Standort Mitte ebenfalls weiterhelfen.
 

Insgesamt wurde die Abteilung „Sportklinik, Unfallchirurgie und Orthopädie“ als offizielles Kniezentrum der Deutschen Kniegesellschaft zertifiziert. Eine derartig umfassende und komplette Versorgungsmöglichkeit können nur wenige Einrichtungen deutschlandweit vorzeigen.

Behandlungsschwerpunkte:

  • Vorderes Kreuzband
  • Hinteres Kreuzband
  • Meniskuserkrankungen
  • allogene Meniskustransplantationen
  • Knorpelschäden
  • Beinachsfehlstellungen
  • Knorpeltherapie – ACT
  • Patellainstabilitäten
  • Sehnen- und Bandverletzungen am Kniegelenk
  • Revisionsfälle

Vorderes Kreuzband (VKB)

Eine der häufigsten Sportverletzungen im Bereich des Kniegelenkes ist die vordere Kreuzband-Ruptur. Vor allem bei jungen, sportlich aktivem Patienten ist oftmals eine sogenannte VKB-Ersatzplastik notwendig. Goldstandard ist der Ersatz des gerissenen Kreuzbandes durch eine körpereigene Sehne, ggf. können noch stehende Restfasern als Leitstruktur belassen werden. Hierzu stehen verschiedene Transplantate zur Verfügung (Hamstring-Sehnen, Quadrizepssehne, …) die individuell ausgewählt werden. Zusatzverletzungen des Meniskus oder der Seitenbänder werden ebenfalls im Rahmen der Operation behandelt. Das Kreuzband wird über Bohrkanäle an die anatomische Position gebracht und dort mittels sog. Interferrenzschrauben im Kanal verblockt.

Bei isolierten Kreuzbandverletzungen behandeln wir ohne eine Hartrahmenorthese nach um eine schnellere Rehabilitation zu ermöglichen. Bei zusätzlichen Verletzungen am Meniskus oder den Seitenbändern ist diese aber teilweise nötig, um eine sichere Heilung zu gewährleisten. Daher wird die Nachbehandlung individuell auf jeden Patienten abgestimmt, wobei auch der sportliche Anspruch oder die berufliche Belastung in die Therapieentscheidung mit einbezogen werden und Zusatzeingriffe bedingt (Anterolaterale Stabilisierung, Anteromediale Stabilisierung, Transplantatauswahl, …).

Kindliche Kreuzbandverletzungen werden bei uns ebenfalls operativ behandelt, hier ist eine besondere sog. „wachstumsfugen-schonende“ Technik nötig, um Wachstumsstörungen zu verhindern.

Re-Ruptur des vorderen Kreuzbandes

Im Falle von Re-Rupturen des vorderen Kreuzbandes ist in manchen Fällen keine direkte einzeitige Versorgung mit einem neuen Kreuzband möglich, z.B. wenn sich die Bohrkanäle geweitet haben. Dann müssen die alten Kanäle in einem ersten Eingriff gefüllt werden und die erneute Kreuzbandplastik erfolgt nach einigen Monaten. Auch Achs-Fehlstellungen, die das Risiko einer weiteren Ruptur begünstigen würden, werden abgeklärt. Insbesondere eine X-Bein-Stellung oder eine Verkippung des Schienbeinkopfes (sog. „Slope“) gelten hier als Risikofaktoren, die ggf. vor einer erneuten Versorgung mit einem Kreuzband behandelt werden müssen – ebenso wie periphere Instabilitäten, die ebenfalls mit abgeklärt werden müssen.

Hinteres Kreuzband (HKB)

Auch Verletzung des hinteren Kreuzbandes und Mehrbandverletzungen (inkl. Innen- oder Außenband) bis hin zu Kniegelenksluxationen werden bei uns regelmäßig versorgt.

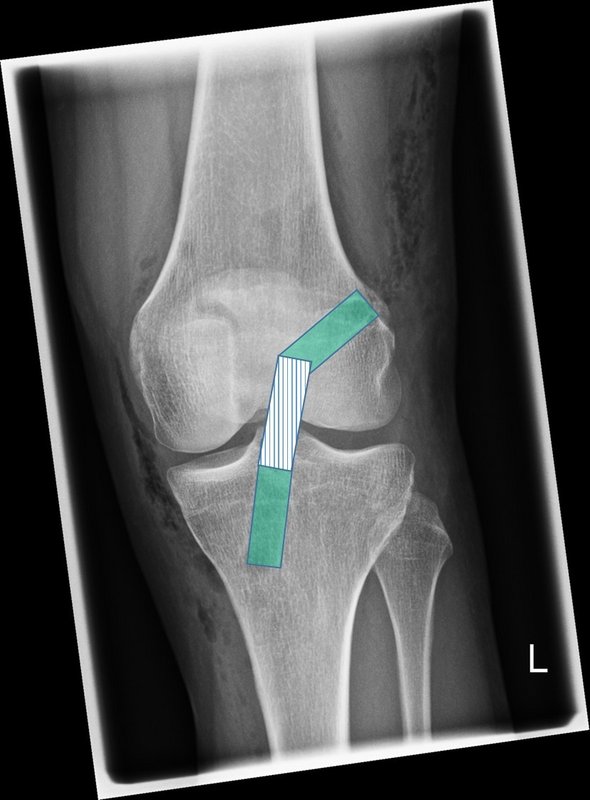
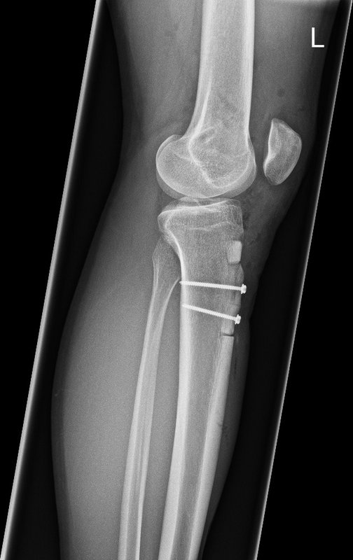
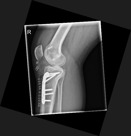
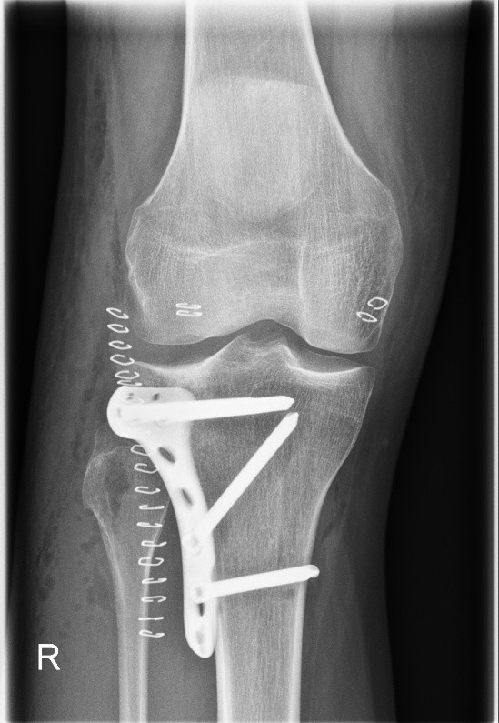
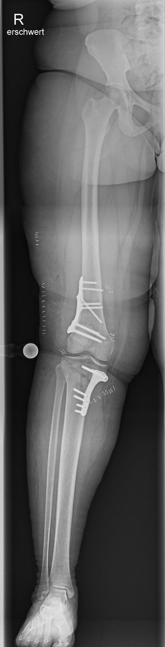
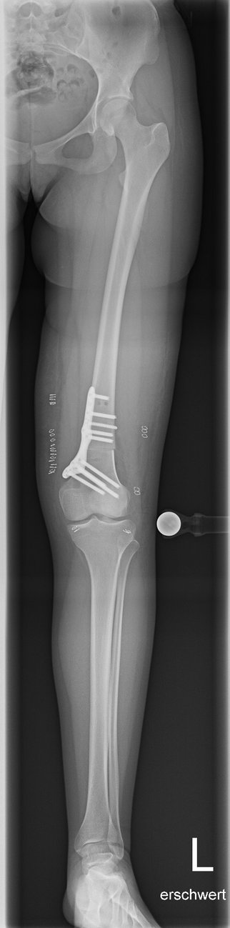
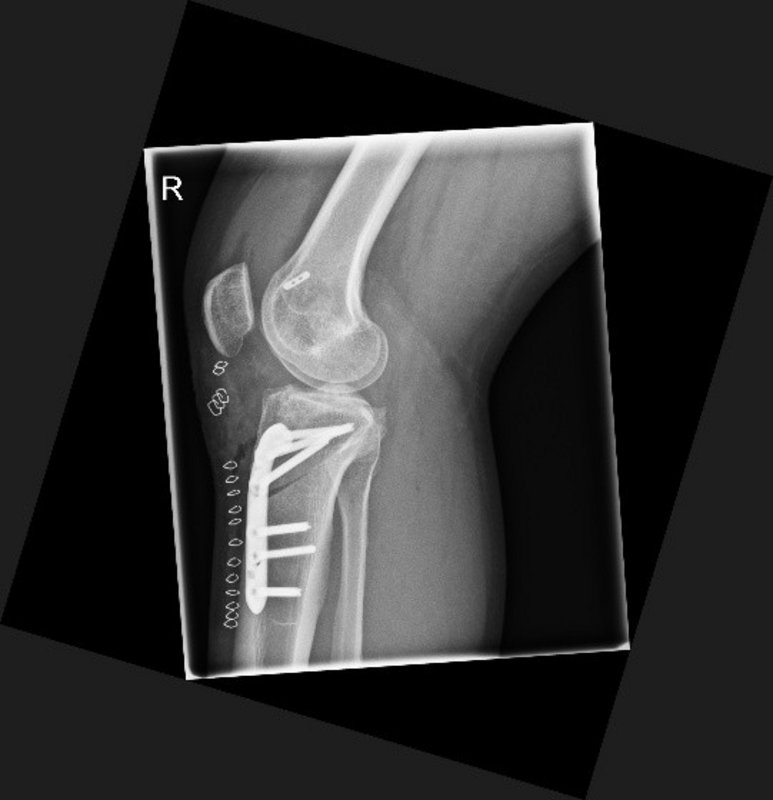
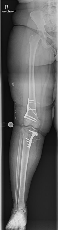
Tibiakopf Fraktur

Die arthroskopisch assistierte Frakturversorgung (insbesondere am Tibiakopf) im Rahmen von Band- bzw. Kombinationsverletzungen ist ebenfalls ein Schwerpunkt der Abteilung. Der ärztliche Direktor PD Dr. med. Schlumberger ist im DKG-Komitee „Frakturen“ vertreten.

Meniskus

Der Meniskus fungiert als „Stoßdämpfer“ zwischen Oberschenkel und Unterschenkel, verbessert die Kongruenz der Gelenkpartner und trägt zusätzlich zur Stabilität des Kniegelenkes bei. Je nach Rissform, Patientenalter, traumatischer oder degenerativer Ursache bestehen unterschiedliche Behandlungsoptionen von konservativer Therapie bis hin zur operativen Versorgung mittels Teilresektion oder Meniskusnaht. Bei speziellen Meniskusverletzungen (z.B. der sogenannten Wurzel-Läsion) kann – um den Einheilungsprozess zu gewährleisten – auch ein Zusatzeingriff wie eine Umstellungsosteotomie bei O-Beinen nötig werden.

Bei jungen Patienten mit Meniskusverlust besteht auch die Möglichkeit einer sog. Meniskustransplantation, um langfristig das Fortschreiten der Arthrose hinauszuzögern. Hierbei wird aus einer Spenderbank ein bzgl. Größe und Form passender Spendermeniskus ausgewählt und nach Entfernung des defekten Eigenmeniskus im Gelenk fixiert.

Knorpelschäden

Bei Knorpelschäden unterscheiden wir zwischen degenerativen Veränderungen („Arthrose“) und traumatischen Knorpelschäden. Je nach Größe, Lokalisation und Ursache für die Knorpelschäden wird eine individuelle Therapie abgestimmt. Konservative Therapiemöglichkeiten (Physiotherapie, Infiltrationen, Orthesen, …) sind ebenso eine Möglichkeit, wie die operative Behandlung.

Es ist wichtig, die Ursache für einen Knorpelschaden herauszufinden und ggf. mitzubehandeln. Neben einem Unfall ist auch eine chronische Instabilität oder eine Achsfehlstellung unter Umständen für einen Knorpelschaden verantwortlich – vor einer Knorpelreparatur ist die Behandlung der Ursache essenziell.

Als Behandlungsmöglichkeiten für Knorpelschäden gibt es die sog. Abrasionschondroplastik / Mikrofrakturierung, bei der der defekte Knorpel bis auf den Knochen abgetragen und dieser dann mit kleinen Löchern perforiert und ggf. mit einer speziellen Membran bedeckt wird. Durch die Perforationen tritt Knochenmark in den Defekt ein und es bildet sich ein sog. Regeneratknorpel. Auch die Möglichkeit einer Knorpelzelltransplantation (sog. „ACT“) wird bei uns angeboten. Hier werden in einer ersten Operation Knorpelzellen entnommen und in einer zweiten Operation in den Defekt eingebracht (entweder als sog. ACT Inject in einer Suspension oder als ACT 3d auf einer Membran). Auch die körpereigene Transplantation eines Knochen-Knorpel-Zylinders (OATS / Mosaikplastik) ist eine Therapiemöglichkeit, die wir anbieten können.

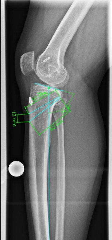
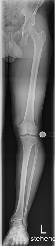
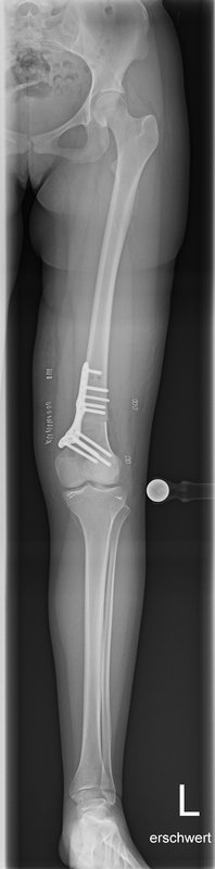
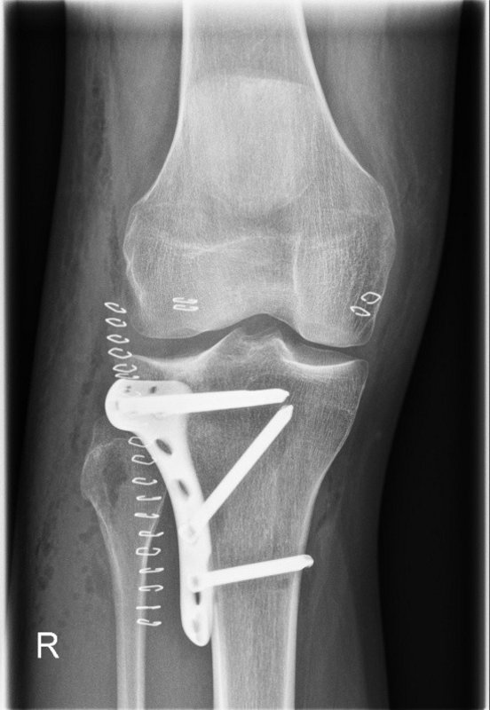
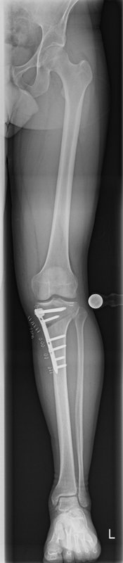
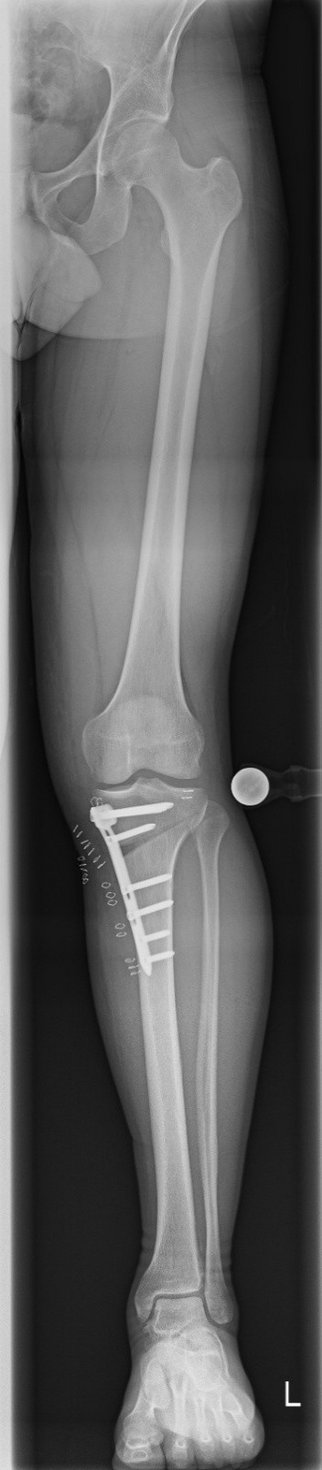
Beinachsfehlstellungen

Manchmal liegen Beschwerden Fehlstellungen zu Grunde – sei es im Sinne eines „O-Beins“ bzw. eines „X-Beins“, aber auch eine Rotationsfehlstellung kann ursächlich für Beschwerden des Kniegelenkes sein. Gerade bei Knorpelschädigungen und Arthrose ist eine Fehlstellung mit konsekutiver Überlastung einer Gelenkhälfte oftmals ursächlich. Durch den Ausgleich der Fehlstellung wird die Biomechanik des Gelenkes wieder hergestellt und das betroffene Areal entlastet. Wir bieten Umstellungen in allen Ebenen (O-Bein, X-Bein, Rotationsfehlstellungen, pathologischer Slope, …) an. Oft ist es sogar möglich, dass eine notwendige endoprothetische Versorgung nochmals lange hinausgezögert werden kann, was vor allem jungen Patienten zu Gute kommt.

Patellainstabilitäten

Die Instabilität der Kniescheibe betrifft häufig junge Patienten. Nach der ersten Luxation der Kniescheibe erfolgt eine ausgiebige Diagnostik, um mögliche Risikofaktoren auszuschließen. Dabei wird sowohl die Beinachse beurteilt, die Stellung der Kniescheibe selbst, die knöcherne Gleitrinne (sogenannte Trochlea) und auch die Rotation des Beines. Schlussendlich wird für jeden Patienten eine individuelle Therapieempfehlung ausgestellt.

Häufig ist aufgrund des hohen Rezidivrisikos jedoch eine operative Therapie nötig.  Das Halteband der Kniescheibe (sogenanntes MPFL) wird dabei durch eine körpereigene Sehne ersetzt und etwaige Zusatzeingriffe stabilisieren das Gesamtsystem zusätzlich. Teilweise muss die Gleitrinne vertieft werden („Trochleaplastik“), teilweise ist eine Begradigung oder Korrektur der Beindrehung nötig, teilweise muss der Ansatz der Kniescheibensehne versetzt werden („Tuberositasversatz“).

Die Patellofemoralchirurgie ist ein besonderer Schwerpunkt unserer sportorthopädischen Abteilung, PD Dr. med. Schlumberger engagiert sich hier unter anderem im Komitee „Patellofemoral“ der AGA und im „Patellofemoral Instability Komitee“ der ESSKA.

Am Anfang der Behandlung steht auch am Kniegelenk oft die konservative Therapie, z. B. mit Bandagen, Orthesen, Schuhzurichtungen, gezielter Physiotherapie oder physikalischen Therapiemaßnahmen. Auch Infiltrationen mit Hyaluronsäure oder Eigenblut sind häufige Methoden. Auch eine Funktionsdiagnostik (z.B. Gang- und Laufanalyse) kann helfen, die Ursache der Beschwerden näher einzugrenzen. Die individuellen Therapiemaßnahmen werden mit dem Patienten abgestimmt und über die Sprechstunde in die Wege geleitet.

Gerade bei jungen Patienten streben wir einen Gelenkerhalt an (siehe Abschnitt „Knorpel“ und „Beinachsfehlstellungen“).

Sollte sich jedoch eine fortgeschrittene Arthrose zeigen und das Kniegelenk nicht mehr gelenkerhalten operativ versorgt werden können, so ist auch die Implantation einer Endoprothese eine Behandlungsoption:

Informationen zu Arthrose und Kniegelenkendoprothese

Jetzt Termin vereinbaren

Online-Terminvereinbarung